Loading...
care@arkdental.in
9990509300
Home
About
Services
General DENTISTRY
Tooth Colored Fillings
Composite Bonding
Cleaning and Polishing
Crowns & Bridges
Advanced Whitening
Dental Veneers
Night Guard
Gummy Smile
ORTHODONTICS
Metal braces
Ceramic braces
Damon braces
Invisalign
SURGICAL
Bone Grafting
IMPLANTS
Painless Tooth Extraction
All on 4 Dental Implants
Implants Supported DENTURES
Gallery
Before and After
Team
Testimonials
Blog
Contact
Book an Appointment
Gallery
Home
Gallery
Before and After
Gallery
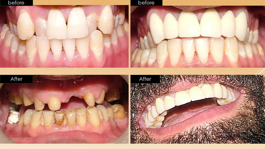
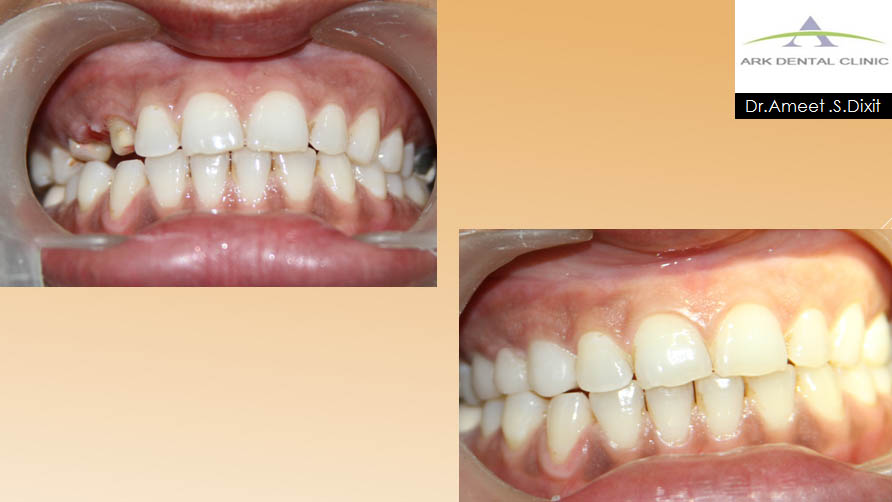
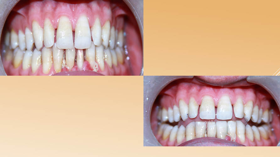
Patient - Before and After
BECOME A PATIENT AT Ark Dental Clinic
Book an Appointment
Book an Appointment